Teléfono: 957 81 76 76

logo
  • INICIO
  • RESONANCIA
  • TAC
  • DENSITOMETRÍA
  •      UBICACIÓN
  • PIDA SU CITA
  • PACIENTES
  • 957 81 76 76
  • cordoba@cmdi.es

EJEMPLOS DE IMÁGENES DE RMN

  • Resonancia
  • Galería de imágenes
  • Todas las imagenes
  • Con patología
  • Sin patología
  • Resonancia NORMAL TOBILLO SAGITAL T1
  • Resonancia PATOLÓGICA DE COLUMNA LUMBAR - SAG T2
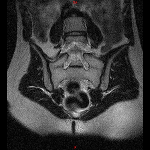
  • Resonancia NORMAL SACROILIACAS COR T2
  • Resonancia PATOLÓGICA DE HOMBRO - FRACTURA TROQUITER -  COR T1
  • Resonancia NORMAL SACROILIACAS  AXIAL T1
  • Resonancia PATOLÓGICA MENISCOPATIA INTERNA DP SAGITAL
  • Resonancia NORMAL RODILLA SAG DENSIDAD PROTONICA
  • Resonancia PATOLÓGICA DE HOMBRO - FRACTURA TROQUITER Y EDEMA OSEO -  COR T2 WF
  • Resonancia NORMAL RODILLA SAG T1
  • Resonancia PATOLÓGICA DE MUÑECA - FRACTURA ESCAFOIDES
  • Resonancia NORMAL PIE SAG T1
  • Resonancia NORMAL MUÑECA COR T1
  • Resonancia PATOLÓGICA EDEMA OSEO Y DERRAME ARTICULAR
  • Resonancia NORMAL MUÑECA COR T1 3D FATSAT
  • Resonancia PATOLÓGICA DE CADERAS - FRACTURA CUELLO FEMORAL -  COR T1
  • Resonancia NORMAL HOMBRO COR T2 WF
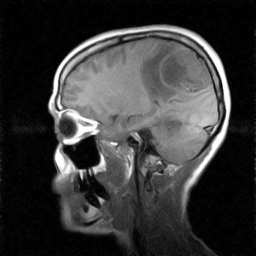
  • Resonancia PATOLÓGICA DE CRANEO - MENINGIOMA -  SAG T1
  • Resonancia NORMAL HOMBRO COR T1
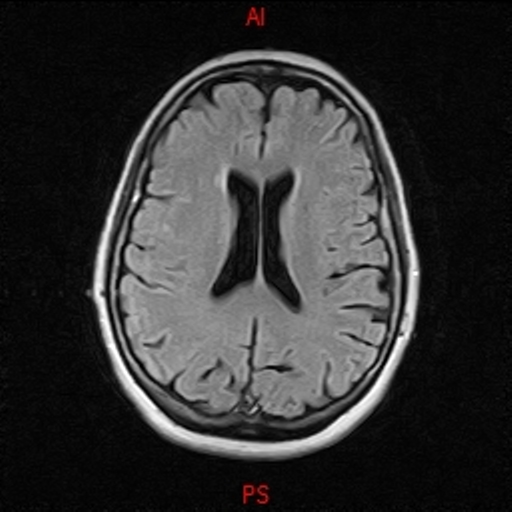
  • Resonancia NORMAL CRANEAL T2 AXIAL
  • Resonancia PATOLÓGICA DE C.CERVICAL -  SAG T2
  • Resonancia NORMAL CRANEAL T2 AXIAL
  • Resonancia PATOLÓGICA DE C.LUMBAR - HERNIA DE DISCO L5-S1 -  SAG T2
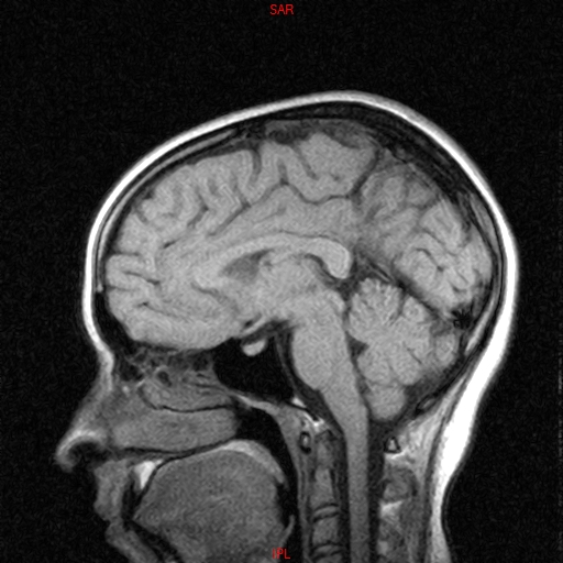
  • Resonancia NORMAL CRANEAL T1 SAGITAL
  • Resonancia NORMAL CRANEAL FLAIR CORONAL
  • Resonancia NORMAL CRANEAL T1 AXIAL
  • Resonancia NORMAL COLUMNA DORSAL T2 SAGITAL
  • Resonancia NORMAL CAIS T2 CORONAL
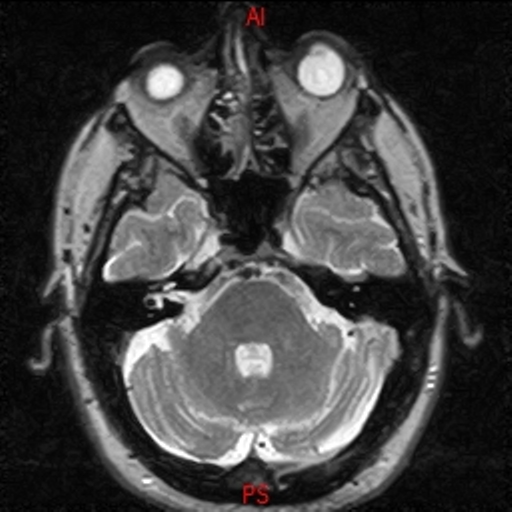
  • Resonancia NORMAL CAIS T2 AXIAL
  • Resonancia PATOLÓGICA DE C.CERVICAL -  SAG T2
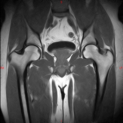
  • Resonancia NORMAL CADERAS T2 CORONAL
  • Resonancia NORMAL CADERAS T1 CORONAL
  • Resonancia PATOLÓGICA MENISCOPATIA INTERNA DP SAGITAL
  • ANGIO CEREBRAL / POLIGONO WILLIS SIN PATOLOGIA TOF
  • Resonancia PATOLÓGICA DE CRANEO - MENINGIOMA -  SAG T2
CENTRO DIAGNOSTICO CÓRDOBA

Calle Diego Serrano, 2 (Córdoba)
957 81 76 76
cordoba@cmdi.es
Nº de registro sanitario: 32953

Copyright 2020 | Todos los derechos reservados | Aviso legal | Uso de cookies | Calidad certificada | Empleo |